chiudi
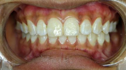
Macchie bianche sui denti

Macchie bianche sui denti


Le macchie bianche sui denti sono uno un chiaro sintomo che suggerisce i danni subiti dallo smalto dentale. La formazione di queste macchie bianche sui denti può essere dovuta prevalentemente a carie e fluorosi dentale. Dopo la comparsa di queste macchie i pazienti potrebbero subire un grande inestetismo e potranno eliminarle solamente con una pulizia dei denti accurata o con l’applicazione di rimedi specifici. Il consiglio è quello di non ignorare mai la presenza di macchie bianche sui denti in quanto, se trascurate, potrebbero diventare la causa di un ampio ventaglio di disturbi anche piuttosto seri. Qualora si ravvisasse la presenza di macchie bianche sui denti il consiglio è quindi quello di rivolgersi senza indugio al proprio dentista per prenotare una visita specialistica.

Cosa sono le macchie bianche sui denti

Le macchie bianche sui denti possono riguarda gli adulti come i bambini. Si tratta di macchie che compaiono sullo smalto dei denti. Quando le macchie bianche sui denti riguardano i denti anteriori questo può incidere in modo molto impattante sull’estetica, causando danni anche all’autostima. Le macchie bianche sui denti sono anche dette “white spot lesions” e segnalano in modo chiaro che lo smalto del dente è danneggiato. La causa dell’insorgenza di queste macchie bianche sui denti è da ricercare soprattutto nel processo di formazione degli elementi dentali che avviene nei primi anni di vita. In casi più rari le macchie bianche sullo smalto possono comparire anche in età adulta. Il consiglio è quello di accertarsi sempre sulla vera natura delle decolorazioni dello smalto così da tutelare la buona salute orale a 360°. I sintomi delle macchie bianche sui denti comunque abbiamo anche le alterazioni della forma dei denti e l’indebolimento generale che porta ad aumentare il rischio di fratture. Ad esempio l’assunzione esagerata di fluoro in età pediatrica potrebbe far perdere alle strutture ossee la loro capacità elastica aumentando così il rischio di possibili fratture. Ci sono diverse tipologie di macchie bianche sui denti ma anche di altri colori e dalla loro analisi uno specialista riesce a capire quali sono state le possibili cause. Ad esempio le macchie gialle sono un chiaro indice dell’abuso di caffè, tabacco o tè e possono portare a un invecchiamento precoce dello smalto. Quando le macchie invece si presentano in colore nerastro per via di processi cariogeni allo stato avanzato. Inoltre anche assumere vitamina C o integratori alimentari potrebbe favorire la formazione di macchie nere.

Macchie bianche sui denti: le cause

Una panoramica dentale macchie bianche consente al dentista di farsi rapidamente un’idea molto precisa della situazione del paziente. In genere le macchie bianche sui denti sono provocate da traumi che si sono verificati nella fase di sviluppo e crescita dei denti. Il trauma che colpisce il dente da latte potrebbe avere serie ripercussioni anche sul dente permanente che si forma all’interno dell’osso mandibolare. I denti permanenti possono presentare delle macchie bianche anche per altri motivi ben precisi come ad esempio la fluorosi dentale e le carie. La fluorosi è una patologia causata dall’eccessiva assunzione di fluoro e le sue conseguenze dipendono dalla quantità di fluoro ingerito. Il fluoro infatti si può accumulare nei denti e nelle ossa causando l’alterazione della superficie dello smalto dentale e la comparsa delle macchie color bianco. Anche le carie nelle loro fasi iniziali si mostrano come semplici e piccole macchie bianche che si formano sul dente colpito. Proprio per questo è sempre importante avere una buona igiene orale così da evitare l’accumulo di placca nel cavo orale e limitare anche l’insorgenza di patologie come gengivite e carie. Ricordiamo che le carie, se trascurate, possono diventare sempre più profonde interessando la dentina e la polpa del dente (pulpite).

Macchie bianche su bambini e denti da latte

Abbiamo visto come le macchie bianche sui denti colpiscano anche i bambini in modo piuttosto frequente. Il problema nel caso dei più piccoli è di solito concentrato sui primi molari permanenti e sugli incisivi. In questo caso parliamo di un difetto dello smalto di tipo genetico oppure alla carenza di vitamina D e all’accesso di fluoro. Quando le macchie bianche si presentano anche sui denti da latte la causa è da ricercarsi quasi sempre in un eccesso di fluoro o in una reazione a qualche antibiotico. La fluorosi comunque si presenta quasi sempre sui denti permanenti, meglio comunque portare sempre il bambino alle visite di controllo del dentista così da intercettare subito eventuali patologie.

Come togliere le macchie bianche dai denti

Si possono togliere le macchie bianche sui denti mediante trattamenti professionali e naturali. Inutile dire che quelli professionali sono consigliati soprattutto nelle forme più gravi, in quelle più lievi invece si può tentare qualche rimedio naturale come il bicarbonato di sodio o il tè verde. Anche mangiare alimenti ricchi di minerali come il latte o il formaggio potrebbe aiutare risolvere il problema in modo rapido. Se parliamo dei rimedi professionali ricordiamo che lo sbiancamento dentale potrebbe non essere sufficiente. A seconda dei casi i dentisti potrebbero consigliare l’inserimento di faccette dentali.
Macchie bianche sui denti